Petición al Hospital La Paz:
PACIENTE: CARLOS GONZALEZ RODRIGUEZ
DNI: 07473425N
FECHA DE NACIMIENTO: 29-05-1970
NHC: 3814407
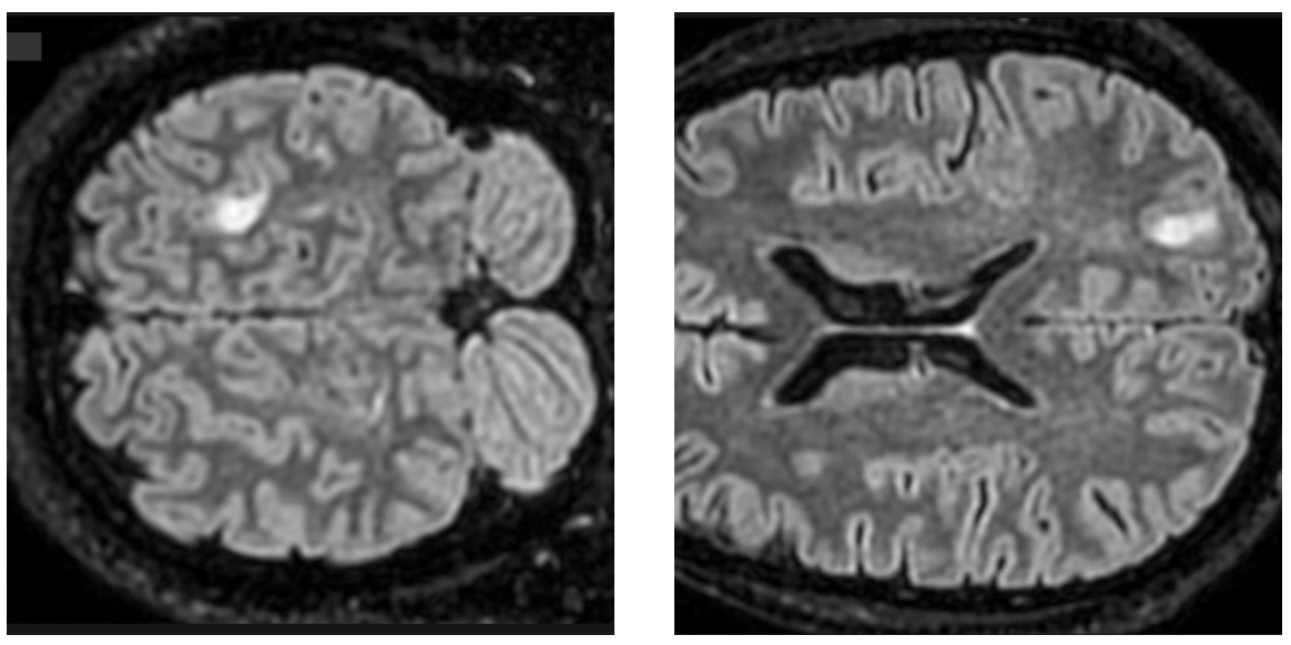
Adjunto el informe de RM cerebral con contraste. La conclusión describe múltiples focos bilaterales, con lesión cortical parietal posterior izquierda con captación en anillo sin restricción de difusión, y plantea como posibilidad una lesión neoplásica glial multifocal con foco de mayor agresividad parietal izquierdo, considerándose menos probable etiología infecciosa o desmielinizante. Solicito derivación preferente a Neurocirugía/Neuro-oncología para valoración de biopsia estereotáxica y planificación de pruebas complementarias (RM avanzada perfusión/espectroscopia o punción lumbar si procede).
SURVEY
T1W SE sag smbr recon
3 FLAIR 3D SPIRTRA IQ STRONG smbr
Se adjuntan imágenes adicionales similares realizadas en una RMC previa de Febrero de 2026 en el Centro Medico Piramides de Sanitas:
